Realizamos uma análise completa da sua saúde bucal e do seu sorriso, identificando necessidades e objetivos para indicar o melhor caminho de tratamento.
Desenvolvemos um plano exclusivo, com base em diagnóstico preciso e tecnologia digital, definindo cada etapa para alcançar resultados previsíveis e naturais.
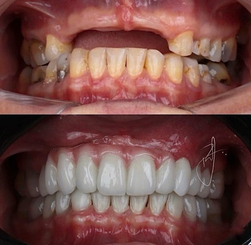
Executamos os procedimentos com técnicas avançadas, materiais de alta qualidade e máxima atenção aos detalhes, garantindo conforto e excelência em cada atendimento.
Acompanhamos de perto a evolução do seu sorriso, realizando ajustes sempre que necessário para garantir a máxima eficiência e longevidade dos resultados.
Orientamos você sobre os cuidados ideais no dia a dia, promovendo a prevenção, preservando os resultados e mantendo seu sorriso saudável por muito mais tempo.















